人类是否拥有206块骨骼呢

豆骨(fabella),是位于膝盖后方肌腱中的一块小骨骼,目前它在人体存在的概率是100年前的3倍,全球五分之二居民都长有豆骨。

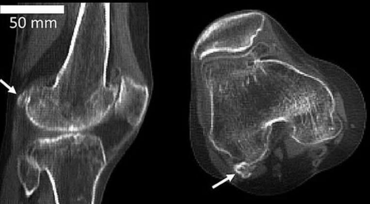
图中显示3个不同膝骨样本存在不同大小的豆骨。科学家发现1918年全球11.2%居民体内存在豆骨,但截至2018年,全球39%居民体内存在豆骨。
(神秘的地球uux.cn报道)据新浪科技(叶倾城):国外媒体报道,每个小学生都知道人类拥有206块骨骼,但目前教科书可能需要重新改写,之前科学家认为进化消失的一块骨骼,现已奇迹般复原。
豆骨(fabella),是位于膝盖后方肌腱中的一块小骨骼,目前它在人体存在的概率是100年前的3倍,全球五分之二居民都长有豆骨。它的直径不足1.3厘米,是在我们灵长类祖先身体上发现的,它被称为“骨骼阑尾”,因为它的存在是毫无意义的。
目前科学家认为,现代饮食让人类变得更高、体重更大,也许我们的膝盖承受更大压力,导致我们长出更多骨骼缓解压力。但是这将产生一个问题,膝骨骼会磨损重要的软骨组织,从而导致骨关节炎。
事实上,英国五分之一45岁以上人群遭受着这种痛苦,他们膝盖长出豆骨的概率是其他年龄段人群的两倍。一些专家表示,如果发现豆骨,就应该尽早移除。
英国伦敦帝国理工学院的研究人员回顾了过去150多年进行的2.1万多项科学研究,其中包括研究人员扫描和解剖鉴定发现豆骨的存在。他们从中发现1918年全球11.2%居民体内存在豆骨,但依据发表在《解剖学杂志》的这篇评论报告,截至2018年,全球39%居民体内存在豆骨。
研究报告负责人迈克尔·伯托姆(Michael Berthaume)博士称,这项研究非常令人兴奋,因为人类骨骼发生改变的情况极其罕见,而这种改变会影响到世界每一个人。我们只能猜测豆骨的功能,它很可能是人类骨骼的“阑尾”。
伯托姆说:“我们希望通过研究豆骨,可以帮助那些饱受骨关节炎之苦的患者,并弄清楚长有豆骨的人是否应该切除它们。”在拉丁语中豆骨是“小豆子”的意思,它似乎没有进化上的存在理由,人们认为它在1875年医学报告中重新出现之前就像我们灵长目祖先消失不见了。
现今人类比过去更高、体重更大,因此膝盖后面的腓肠肌更大,这将形成压力和摩擦力。豆骨存在于连接肌肉和大腿骨的肌腱中,通过为肌腱提供一个光滑表面滑动来消除部分压力,当然,狗、猫和一些灵长目动物都具有这种豆骨。
但是专家认为,豆骨可能会造成膝盖受力不均,增大软骨损伤。它也可能在膝关节置换手术之后引发疼痛,因为多余的骨骼通过钻入大腿骨来保持其位置,当这部分骨骼被替换,将该骨骼移除后,骨骼位置将形成一个凹陷,当人们行走时,肌腱会从左至右产生“断裂感”,出现疼痛。
伯托姆博士称,当远古灵长目动物进化成大猿和人类,我们似乎已不再需要豆骨,现在它只会给我们带来麻烦,但有趣的是,近年来人体出现豆骨的概率骤增。这项最新研究发表在《解剖学杂志》上,作者详细研究了25个国家21676个膝盖数据,最早的数据可追溯至1875年。这些膝盖数据来自多种渠道,其中包括:X射线、核磁共振扫描和局部解剖。
豆骨也被称为籽骨,这是由于它生长在肌腱之中。膝盖骨是人体最大的籽骨,研究发现骨关节炎和神秘豆骨的存在具有直接联系,膝关节炎患者长有豆骨的概率是非骨关节炎患者概率的两倍。但是研究人员表示,目前还无法断定豆骨的存在导致了骨关节炎。人们还认为,令人讨厌的豆骨会影响膝关节置换手术,并且会导致身体不适感。
豆骨的存在倍受争议,人们认为它的存在是微不足道的,或者不需要存在。然而,豆骨被认为在人类进化历程中具有重要角色,它可能对人类祖先物种起到了膝盖骨的作用。在过去150年里,豆骨再次广泛出现在人体中,专家猜测这是20世纪人类战争之后人们饮食营养均衡改善的结果。
人们摄取较好的营养食物意味着当前人类比之前更高、更强壮、更重,这也将增加身体骨骼的负担。膝盖承受的压力要大更多,而且随着肌腱受到锻炼,骨骼也会发育生长,从而导致人体再次长出豆骨。
伯托姆博士解释称,现今人类饮食中获取均衡营养,这意味着我们体重更大。这种变化伴随着胫骨变长和小腿肌肉变大而出现,它们都会使膝盖承受越来越大的压力,这将解释为什么现在豆骨比之前更加常见。
- 上一条:返回列表
- 下一条:研究发现包括汉语在内的汉藏语系语言起源
探索发现相关推荐